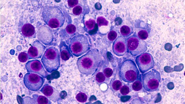
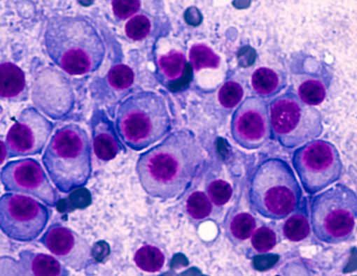
Penyakit multiple myeloma atau sering disebut dengan mieloma ganda merupakan salah satu jenis sel kanker darah yang berasal dari sel plasma. Keganasan sel plasma ini membuatnya terus membelah diri secara progresif di sumsum tulang, sehingga keluhan penyakit ini kerap ditemukan pada hasil biopsi tulang.
Dibandingkan dengan jenis kanker lainnya, multiple myeloma cukup jarang terjadi. Angka kejadiannya hanya sekitar 10 persen dari keseluruhan kanker darah yang terjadi, dengan insiden 5 hingga 6 kasus per 100.000 populasi.
Usia rata-rata orang yang terdiagnosis penyakit ini adalah 70 tahun. Namun, sekitar 3,4 persen dari kasus multiple myeloma juga terdiagnosis pada usia 35-44 tahun. Ketahui berbagai penyebab dan gejala penyakit ini agar Anda dapat lebih waspada.
Penyebab dan Gejala Multiple Myeloma
Faktor lingkungan dan faktor genetik merupakan dua hal yang dianggap paling berperan terhadap terjadinya multiple myeloma. Adanya riwayat keluarga yang memiliki riwayat penyakit kanker darah menjadi faktor risiko yang paling penting untuk diperhatikan.
Selain itu, seringnya terpapar radiasi, penggunaan pestisida di bidang pertanian dan petrokimia seperti bensin dan minyak tanah juga bisa semakin meningkatkan risiko terjadinya penyakit ini.
Tanda dan gejala awal dari multiple myeloma tidaklah spesifik. Biasanya penderita akan merasakan nyeri pada tulang atau nyeri sekitar pinggang. Nyeri pada tulang ini biasanya terjadi lebih dari 2 minggu dan melibatkan tulang–tulang panjang, sekitar panggul bahkan terasa sakit di sekitar tulang rusuk.
Nyeri tulang ini dapat terjadi karena adanya luka atau peradangan pada tulang. Selain nyeri tersebut, biasanya penderita akan mengalami gejala penyerta seperti sulit BAB, mual, muntah, kelelahan, lemas, penurunan berat badan, serta infeksi berulang seperti infeksi pada saluran pernapasan.
Penanganan multiple myeloma
Dalam menentukan diagnosis penyakit ini, seseorang perlu melakukan serangkaian pemeriksaan oleh dokter berupa wawancara medis, pemeriksaan fisik dan pemeriksaan penunjang.
Pemeriksaan penunjang yang dilakukan cukup banyak, meliputi pemeriksaan darah untuk melihat ada atau tidaknya protein M, serta melihat fungsi ginjal dan jumlah sel darah. Selain itu, pemeriksaan urine juga dapat dilakukan untuk melihat ada atau tidaknya protein Bence Jones sebagai tanda adanya multiple myeloma.
Pemeriksaan penunjang lainnya dapat berupa pemeriksaan invasif dan non-invasif. Pemeriksaan invasif yang dimaksud adalah pemeriksaan sumsum tulang untuk melihat perkembangan sel mieloma.
Caranya adalah dengan menggunakan jarum panjang yang dimasukkan ke dalam tulang untuk mengambil sampel sel pada sumsum tulang. Sedangkan, pemeriksaan non-invasif dapat dilakukan dengan pemeriksaan MRI, CT Scan, atau PET.
Penyakit multiple myeloma bisa diobati dengan beberapa cara seperti terapi radiasi, transplantasi sumsum tulang, serta penggunaan kortikosteroid dosis tinggi. Penentuannya tergantung pada keadaan masing-masing penderita.
Meski demikian, terapi autologous stem cell transplantation (ASCT) merupakan terapi standar bagi penderita multiple myeloma yang berusia kurang dari 65 tahun dan memiliki gejala minimal. Terapi ini merupakan bentuk terapi induksi kemoterapi dosis tinggi yang dapat memberikan angka survival hingga 68 bulan.
Selama masa pengobatan, komplikasi dapat terjadi seiring berjalannya waktu. Beberapa komplikasi yang sering terjadi adalah anemia, gangguan ginjal karena penggunaan obat-obatan anti nyeri, infeksi berulang karena daya tahan tubuh menurun, serta risiko patah tulang yang semakin tinggi.
Mengingat kondisi multiple myeloma bisa mengganggu produktivitas Anda, ada baiknya terapkan gaya hidup sehat sedini mungkin agar terhindar dari penyakit ini.
Penyakit multiple myeloma mungkin tidak mudah untuk dicegah bila dalam keluarga Anda terdapat riwayat penyakit kanker darah. Tetapi, dengan melakukan pemeriksaan rutin minimal 6 bulan sekali, setidaknya risiko atau kelainan dapat diketahui sejak dini.
Jadi, apabila saat pemeriksaan ditemukan adanya kelainan pada darah, segeralah periksakan diri ke dokter untuk mendapatkan penanganan yang tepat. Bilamana Anda terkena multiple myeloma, ikuti berbagai saran dari dokter untuk mencegah kondisi yang semakin parah.
[NP/ RVS]
:format(webp)/article/a-fSsrzivo8Cs3JDQU_78/original/087272500_1556531825-Yuk-Kenali-Penyakit-Multiple-Myeloma-Lebih-Jauh_-By-David-Litman-Shutterstock.jpg?w=256&q=100)