Apakah kamu salah satu orang yang memiliki penyakit rheumatoid arthritis? Jika ya, kamu sebaiknya meningkatkan kewaspadaan. Pasalnya, kondisi tersebut tak hanya menyebabkan gangguan pada sendi, tetapi juga bisa mencetuskan penyakit paru.
Faktanya, Arthritis Foundation menyatakan bahwa orang yang mengidap rheumatoid arthritis memiliki risiko 8 kali lebih tinggi untuk terkena penyakit paru. Risiko tersebut bisa lebih tinggi lagi apabila kamu memiliki rheumatoid arthritis dan punya kebiasaan merokok.
Penyakit Paru yang Dipicu Rheumatoid Arthritis
:format(webp)/article/l5dqJwXdVixGWruWyvwCW/original/029610200_1630551761-Radang-Pleura.jpg?w=256&q=100)
Rheumatoid arthritis adalah penyakit autoimun, di mana sistem kekebalan malah menyerang tubuh sendiri. Selain sendi, organ lain yang dapat ikut terlibat adalah paru-paru. Lalu, apa saja jenis penyakit paru yang disebabkan rheumatoid arthritis? Berikut ini beberapa di antaranya:
1. Penyakit Paru Interstisial (ILD)
Pembentukan jaringan parut di paru-paru bisa saja terjadi akibat rheumatoid arthritis. Dalam dunia kedokteran, kondisi ini disebut penyakit paru interstisial (interstitial lung disease/ ILD).
Seiring berjalannya waktu, jaringan parut dapat terus menumpuk. Hal ini bisa menimbulkan gejala sesak napas, batuk kering yang berkepanjangan, kelelahan, hingga kehilangan nafsu makan.
Mengutip Arthritis Foundation, ILD merupakan penyakit progresif yang sulit diobati. Oleh karena itu, penyakit tersebut menyebabkan angka kematian yang tinggi.
Nyatanya, 1 dari 10 orang yang mengidap rheumatoid arthritis dapat terkena ILD. Penyakit ini juga berisiko lebih tinggi untuk pasien rheumatoid arthritis yang berusia lebih dari 60 tahun.
Dibandingkan wanita, ILD lebih sering dialami oleh pasien pria dengan rheumatoid arthritis. Bahkan, mereka berisiko 2 hingga 3 kali lebih tinggi untuk mengembangkan ILD ketimbang wanita.
Artikel lainnya: Mudah Dilakukan, Ini 7 Olahraga untuk Mencegah Nyeri Sendi
2. Nodul Paru-Paru
Nodul paru-paru ditandai dengan terbentuknya benjolan kecil di paru-paru. Sifatnya bisa jinak maupun ganas.
Nodul paru yang jinak berukuran kecil, kurang dari 3 sentimeter. Nodul ini tidak agresif dan tidak menyebabkan kanker. Umumnya, nodul jinak juga tidak menimbulkan gejala yang berarti.
Di sisi lain, nodul paru yang ganas dapat mencetuskan kanker. Pertumbuhan nodul ini sangat cepat dan dapat menyebar ke jaringan maupun organ lainnya.
Nodul ganas dapat menyebabkan sejumlah gejala, misalnya sesak napas, dada nyeri, batuk berdarah, nyeri punggung, hingga penurunan berat badan. Dalam beberapa kasus, nodul paru bisa pecah. Kondisi ini memicu kolapsnya paru-paru sehingga kehilangan fungsinya sama sekali.
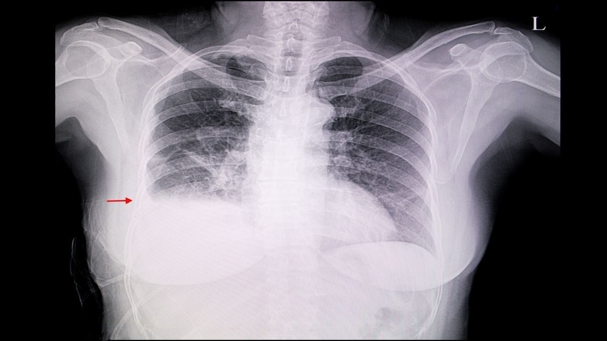
3. Radang Pleura
Rheumatoid arthritis bisa menjadi penyebab penyakit pleuritis atau peradangan pada pleura, jaringan di sekitar paru-paru. Peradangan pleura umumnya disertai dengan penumpukan cairan di antara dua lapisan pleura. Kondisi ini disebut sebagai efusi pleura.
Efusi pleura yang berskala besar dapat memicu sesak napas. Selain itu, kondisi tersebut juga bisa mengakibatkan demam serta nyeri saat bernapas.
Artikel lainnya: Cara Mengatasi Pegal Betis yang Mudah dan Efektif
Bisakah Dicegah?
:format(webp)/article/V0Z53h6mAhP1zsL_67aSx/original/066026600_1622702488-Pantangan_Makanan_yang_Sebaiknya_Dihindari_Pasien_Kanker_Paru.jpg?w=256&q=100)
Rheumatoid arthritis bisa menjadi penyebab penyakit paru. Tapi, komplikasi rheumatoid arthritis tak sebatas pada paru-paru. Penyakit ini juga dapat memicu komplikasi pada organ lain, seperti mata, saluran pencernaan, jantung, dan pembuluh darah.
Lalu, apakah berbagai gangguan ini bisa dicegah? Jawabannya bisa. Dengan terkontrolnya rheumatoid arthritis, maka komplikasi atau efek samping juga bisa ditekan.
Atas dasar itu, penderita rheumatoid arthritis perlu memeriksakan diri ke dokter secara berkala. Hal ini sangat penting untuk mencegah kondisi semakin parah yang berujung komplikasi.
Jika punya pertanyaan mengenai rheumatoid arthritis, penyakit paru, atau gangguan kesehatan lain, kamu dapat melakukan konsultasi kepada dokter dengan memanfaatkan fitur online Tanya Dokter.
Untuk #JagaSehatmu, baca artikel kesehatan terbaru dan tepercaya dengan mengunduh aplikasi KlikDokter.
[RS]
:format(webp)/article/ObxpP2SHNvpKq4Bw-sXfT/original/011011200_1630551761-Rheumatoid-Arthritis.jpg?w=256&q=100)