Mengetahui keberadaan tumor di paru-paru Anda tentu membuat resah. Anda pun kemudian mengaitkannya sebagai pertanda kanker paru. Lantas, apakah tumor di paru-paru selalu berarti kanker paru berkembang di tubuh Anda?
Tumor Belum Tentu Kanker
Istilah tumor dan kanker kerap disandingkan bersama. Pasalnya, banyak sekali kasus kanker yang ditandai dengan keberadaan tumor. Padahal, tumor belum tentu kanker.
Tumor sendiri artinya ialah massa. Sebagai contoh, kumpuan cairan, benjolan, daging tumbuh, dan kutil dapat disebut tumor. Di lain sisi, massa ini ada yang bersifat jinak dan ganas.
Tumor jinak adalah tumor yang tidak menyerang sel normal di sekitarnya dan tidak menyebar ke bagian tubuh lain. Namun, tumor jinak bisa menjadi tumor ganas bila tidak mendapatkan pengobatan.
Sementara itu, tumor ganas dapat menyebar ke bagian tubuh lain. Pertumbuhan sel jenis ini terkadang dapat kambuh tumbuh kembali walaupun sudah mendapatkan pengobatan atau dioperasi.
Sementara itu, kanker adalah jenis tumor yang sangat “mengancam”. Mengancam di sini maksudnya ialah massa yang tadinya bersifat jinak lalu menjadi invasif merusak jaringan atau organ sekitarnya. Sel ini juga bermetastasis atau menyebar dari satu organ ke organ lain dengan tetap melakukan kerusakan jaringan.
Apabila sudah mencapai tahap, ini biasanya pertumbuhan sel memiliki stadium atau tingkat keparahan. Dari yang merusak jaringan atau organ sekitar, sel abnormal ini juga menyerang organ yang lebih jauh.
Tumor Paru, Massa Abnormal di Paru
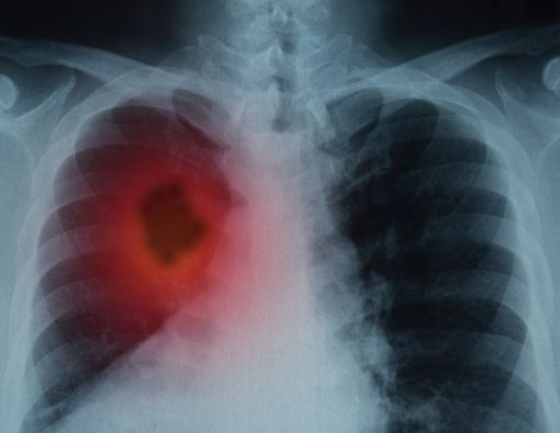
Massa yang terjadi di paru disebut tumor paru. Ini merupakan hasil pembelahan sel yang tidak normal atau kematian sel dalam jaringan paru-paru. Jika pertumbuhannya berdiameter 3 sentimeter atau kurang, biasanya disebut nodul. Setiap pertumbuhan dengan diameter lebih dari 3 sentimeter disebut massa.
Tumor paru disebut jinak apabila tidak menyebar ke organ lainnya. Pertumbuhannya juga perlahan, dan bahkan berhenti tumbuh atau menyusut. Tumor seperti ini biasanya tidak mengancam jiwa.
Sementara itu, apabila Anda mengalami tumor paru dengan gejala yang berkebalikan dengan kondisi di atas, waspadalah. Bisa jadi, ada pertumbuhan tumor ganas atau kanker di paru-paru Anda. Gejala awal kanker paru adalah:
- batuk yang menetap atau memburuk
- batuk berdahak atau darah
- Nyeri dada yang memburuk saat menarik napas dalam, tertawa, dan batuk
- suara serak
- sesak napas dan mengi
- kelemahan dan kelelahan
- kehilangan nafsu makan dan penurunan berat badan yang signifikan
Anda mungkin juga mengalami infeksi saluran pernapasan berulang seperti pneumonia atau bronkitis. Ketika kanker sudah menyebar, gejala tambahan akan muncul tergantung lokasi tumor baru terbentuk. Misalnya, saat kanker menyebar ke kelenjar getah bening, Anda akan mengalami benjolan, terutama di leher atau tulang selangka.
Tumor di bagian atas paru-paru dapat memengaruhi saraf wajah, menyebabkan satu kelopak mata, pupil kecil, atau kurangnya keringat pada satu sisi wajah. Gejala-gejala ini disebut sindrom Horner.
Tumor di paru juga dapat menekan vena besar yang mengangkut darah ke kepala, lengan, dan jantung. Dampaknya, terjadi pembengkakan pada wajah, leher, dada bagian atas, dan lengan.
Kanker paru kadang-kadang menciptakan zat yang mirip dengan hormon, yang menyebabkan berbagai gejala yang disebut sindrom paraneoplastik. Gejalanya meliputi kelemahan otot, mual muntah, retensi cairan, tekanan darah tinggi, gula darah tinggi, kebingungan, kejang, dan koma.
Tumor di paru tak selalu berarti tanda kanker paru. Anda memerlukan pemeriksaan oleh dokter untuk mengetahui apakah tumornya ganas atau jinak. Akan tetapi, saat Anda mengalami gejala awal kanker di atas, segera konsultasikan pada dokter. Semakin dini ditangani, kesempatan sembuh Anda semakin besar.
[HNS/RPA]
:format(webp)/article/nKwHMc7Dbu2D9Teon2A6e/original/060167000_1574502544-Tumor-di-Paru-Pertanda-Kanker-Paru-Benarkah-By-Create-Jobs-51-Shutterstock_1029985261.jpg?w=256&q=100)