Penyanyi Ari Lasso mengaku mengidap kanker bernama Diffuse Large B-Cell Lymphoma (DLBCL). Kabar ini tentu mengejutkan, terlebih jenis kanker yang diidap tergolong langka dan jarang terdengar.
Berdasarkan Lymphoma Research Foundation, DLBCL merupakan jenis kanker non-Hodgkin atau kanker yang yang berkembang di sistem limfatik.
Sistem ini terdiri dari kelenjar serta pembuluh yang menjadi bagian dari sistem kekebalan tubuh.
Umumnya, pertumbuhan kanker DLBCL berawal di limfosit B (salah satu jenis sel darah putih) yang bertugas memproduksi antibodi di kelenjar getah bening.
Artikel lainnya: Komplikasi yang Dapat Terjadi Akibat Kanker Pankreas
Kelenjar seukuran kacang polong tersebut bertempat di leher, selangkangan dan ketiak. Meski begitu, limfoma juga dapat tumbuh di luar area kelenjar getah bening, seperti saluran pencernaan, testis, tiroid, kulit, payudara, tulang, otak, dan organ tubuh lainnya.
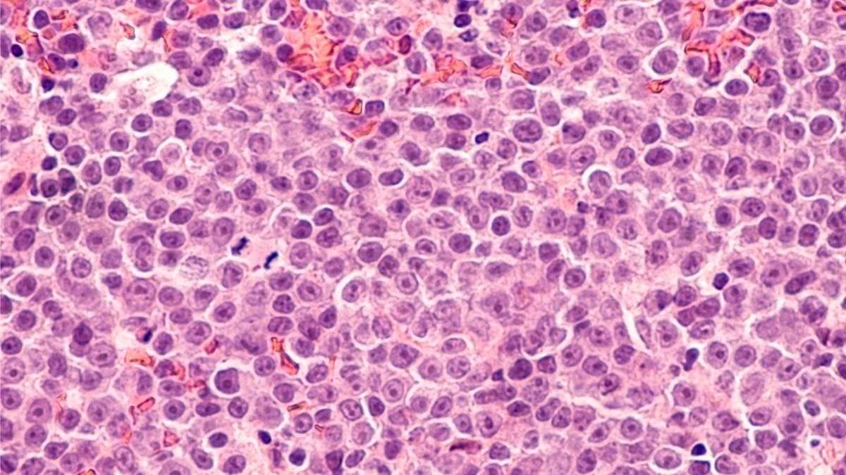
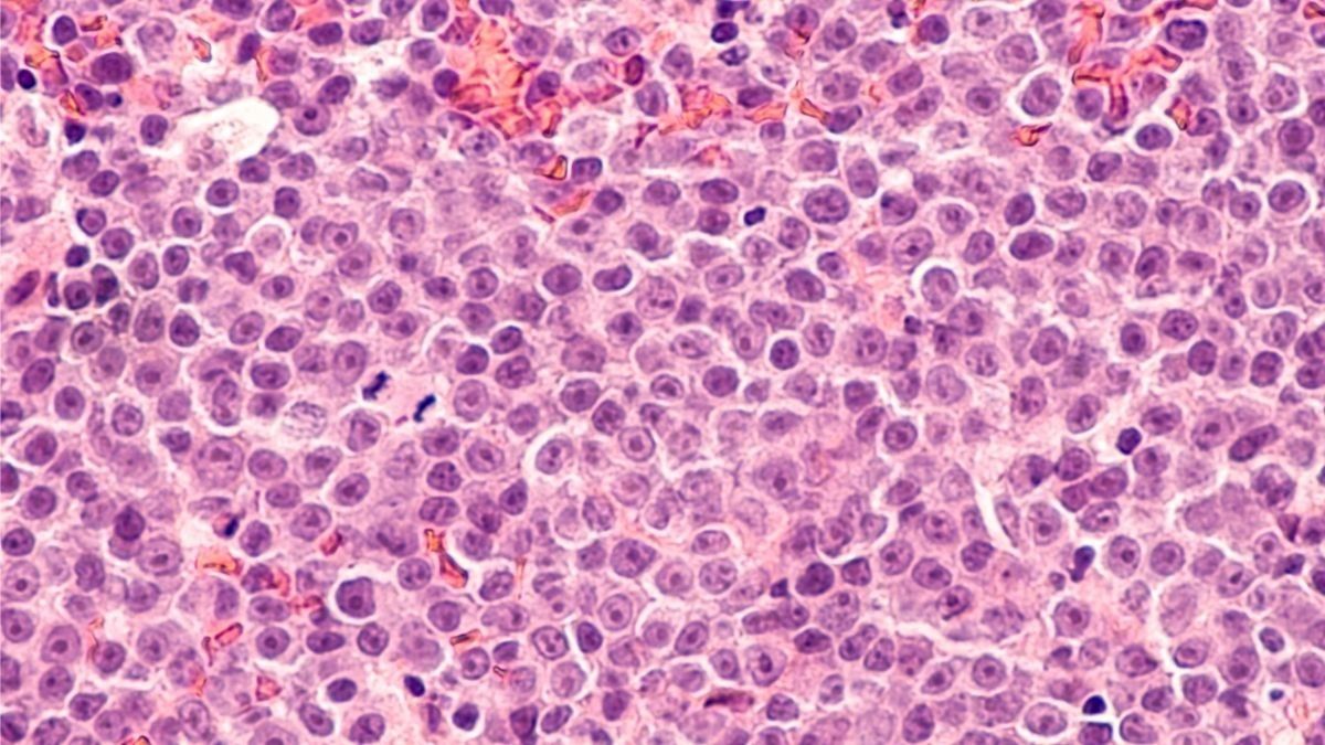
Penyebab Kanker DLBCL
:format(webp)/article/cEo7Oda3b6ExrEMfYsOGj/original/077191500_1631169548-Ilustrasi-Kanker-DLBCL.jpg?w=256&q=100)
Disampaikan dr. Theresia Rina Yunita, hingga saat ini penyebab kanker DLBCL belum diketahui secara pasti.
“Namun, ada faktor risiko yang harus diwaspadai, yaitu berusia pertengahan atau rata-rata dialami oleh orang berusia 64 tahun, pria, dan bukan orang Asia atau Afrika-Amerika,” katanya.
“Selain itu, kemungkinan mengalami kanker ini meningkat jika memiliki penyakit autoimun, atau kondisi sistem kekebalan tubuh yang rendah,” dia menambahkan.
Mengutip WebMD, risiko terjangkit kanker DLBCL juga semakin tinggi jika Anda pernah mendapatkan perawatan radiasi atau kemoterapi.
Hal ini juga berlaku pada orang yang pernah terpapar radiasi tingkat tinggi maupun bahan kimia tertentu.
Artikel lainnya: Menyingkap Berbagai Penyebab Benjolan di Paru-Paru
Gejala Diffuse Large B-Cell Lymphoma
:format(webp)/article/giCMDnbTVyJRxi_SOLSUj/original/046532100_1605500977-Ini-Alasan-Anda-Bisa-Demam-karena-Luka-shutterstock_1258294054.jpg?w=256&q=100)
Dokter Theresia menjelaskan, gejala awal Diffuse Large B-Cell Lymphoma dapat menyebabkan benjolan di selangkangan, ketiak, atau leher.
“Benjolan ini membesar dengan cepat, dapat disertai nyeri ataupun tidak,” jelas wanita yang akrab disapa dr. There tersebut.
Sementara itu, sekitar 40 persen pasien mengalami kanker DLBCL yang tumbuh di perut atau usus.
Berikut gejala lain yang muncul akibat kanker DLBCL:
Artikel lainnya: Perut Sakit dan Bengkak, Waspada Kanker Kantong Empedu
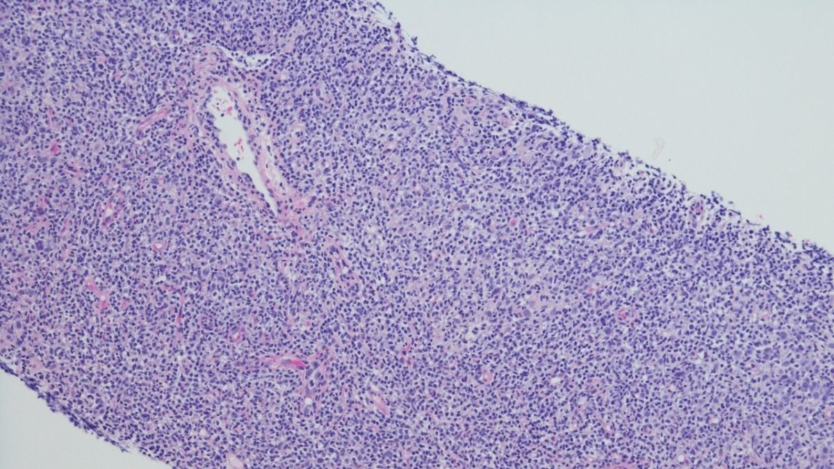
Pengobatan Kanker DLBCL
:format(webp)/article/OtOKdmXoq9taxxsOcKhII/original/089199800_1631169548-Kanker-DLBCL.jpg?w=256&q=100)
Pertumbuhan DLBCL sangat cepat. Saking cepatnya, dokter biasanya menemukan kanker ini bersarang pada banyak tempat di tubuh pasien.
Kendati demikian, kanker limfoma berpotensi disembuhkan. Sebanyak 3 dari 4 pengidap kanker DLBCL berhasil sembuh usai menjalani pengobatan.
“Pengobatan tersebut disesuaikan berdasarkan sejumlah faktor, seperti usia, kondisi kesehatan keseluruhan, stadium, dan subtipe kanker,” kata dr. There lagi.
Selain itu, dokter juga akan mempertimbangkan tempat penyebaran kanker DLBCL pada tubuh pasien guna menyesuaikan terapi pengobatannya.
Disampaikan dr. Theresia, terapi pengobatan Diffuse Large B-Cell Lymphoma yang paling umum digunakan adalah R-CHOP, yaitu kombinasi obat intravena dan pil.
Lebih dari 18.000 orang didiagnosis mengidap kanker DLBCL setiap tahunnya. Limfoma ini memang agresif dan dapat menjalar cepat di dalam tubuh.
Meski begitu, Diffuse Large B-Cell Lymphoma berpotensi untuk disembuhkan. Oleh karena itu, jika Anda merasakan gejala-gejala DLBCL, jangan ragu untuk segera berkonsultasi dengan dokter.
Anda masih punya pertanyaan seputar kanker dan gejalanya? Hubungi dokter kami melalui layanan Live Chat 24 Jam dari aplikasi Klikdokter.
[HNS/JKT]
:format(webp)/article/MAYSdFA6AMWFkMbiFVlnI/original/020629800_1631175752-Ari-Lasso-Kanker-Diffuse-Large_B-Cell-Lymphoma-by-ari_lasso-Instagram.jpg?w=256&q=100)