Sekitar 50 persen pengidap diabetes dapat mengalami masalah kulit, termasuk dermopati diabetik. Gangguan kulit ini umumnya terjadi pada area kaki bagian bawah, khususnya tulang kering diabetesi (penderita diabetes).
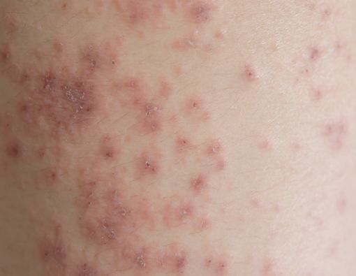
Dermopati diabetik memunculkan lesi (jaringan abnormal pada kulit) berupa bercak merah maupun kecoklatan. Bercak tersebut dapat berbentuk bulat ataupun oval.
Karena ciri visualnya tersebut, dermopati diabetik kerap disebut pula sebagai pigmented pretibial patches atau bintik-bintik tulang kering.
Faktor Penyebab Dermopati Diabetik
:format(webp)/article/W91ELsmKDADkrr871NCHZ/original/087519200_1636345975-Bercak-Merah-Kecokelatan-pada-Kaki-Pengidap-Diabetes.jpg?w=256&q=100)
Hingga saat ini, penyebab dermopati diabetik belum diketahui secara pasti. Beberapa ahli menduga masalah kulit diabetes ini disebabkan oleh respons berlebih tubuh terhadap kadar gula darah yang tidak terkontrol.
Artikel Lainnya: Kondisi Penyebab Kulit Penderita Diabetes Menguning
Adapun penyebab lainnya, ditambahkan dr. Reza Fahlevi, diduga karena adanya gangguan sensoris dan aliran darah ke pembuluh darah kecil di kulit.
“Hal ini karena diabetes dapat menyebabkan pembuluh darah dan ujung-ujung saraf perifer terganggu. Pada gilirannya menimbulkan dermopati diabetik pada pengidap diabetes,” jelas dr. Reza.
Perlu Anda ketahui pula, ketika sirkulasi darah terganggu, aliran darah ke bagian tubuh tertentu menjadi tidak optimal. Hal ini dapat membuat proses regenerasi sel kulit terhambat.
Dampaknya, proses penyembuhan luka diabetesi menjadi lebih lama. Selain itu, kondisi ini juga memicu perkembangan lesi atau bintik-bintik serupa memar yang merupakan ciri dermopati diabetik.
Gejala yang Umumnya Timbul
:format(webp)/article/LPxTdB6eqSdy7SXgYwIVI/original/001230400_1636345976-Necrobiosis_Lipoidica_Diabeticorum.jpg?w=256&q=100)
Umumnya, dermopati diabetik dialami pria dewasa berusia tua, maupun diabetesi yang mengidap penyakit metabolik tersebut dalam kurun waktu lama. Gejala yang ditimbulkan masalah kulit diabetes ini pun dapat bervariasi pada setiap orang.
Seperti telah disampaikan, gejala dermopati diabetik berupa bercak coklat kemerahan, berbentuk bulat maupun oval. Ukurannya dapat mencapai 1 sentimeter atau kurang. Bercak tersebut biasanya muncul di tulang kering, walaupun bisa pula menjangkiti area paha, leher, maupun lengan.
Uniknya, bercak serupa memar ini tidak menimbulkan gejala lain seperti rasa terbakar, perih, maupun gatal. Lesi dermopati diabetik juga tidak berisi cairan, serta tidak menular. Oleh karena itu, disimpulkan bahwa diabetesi dengan lesi kulit disertai gejala lain dapat dipastikan tidak mengalami dermopati diabetik.
Artikel Lainnya: Tips Perawatan Kulit bagi Penderita Diabetes Tipe 2
Mengatasi Dermopati Diabetik
Belum ada pengobatan khusus untuk mengatasi dermopati diabetik. Beberapa lesi yang disebabkan kondisi ini dapat sembuh dalam hitungan bulan maupun tahun. Pada beberapa kasus pun, dermopati diabetik menyebabkan lesi permanen.
Bagi sebagian penderita, bercak merah kecoklatan tersebut mungkin dapat mengganggu penampilan. Oleh karena itu, lesi dermopati diabetik dapat disiasati dengan beberapa cara.
Salah satunya dengan menggunakan pelembap untuk mengatasi bercak kering dan bersisik. Pelembab juga berfungsi membuat penampilan bercak tidak terlalu mencolok. Selain itu, bisa pula dengan mengenakan kaus kaki selutut untuk menutupi gejalanya.
Dermopati diabetik bukanlah jenis komplikasi diabetes yang berbahaya. Meski begitu, masalah kulit ini bisa membuat beberapa pengidap penyakit metabolik merasa tidak nyaman atau kehilangan kepercayaan diri.
Meskipun belum ada cara untuk mengobati maupun mencegah dermopati diabetik secara spesifik, menerapkan manajemen diabetes yang tepat dapat membantu mengurangi risiko komplikasi diabetes lainnya.
Caranya dengan disiplin mengonsumsi makanan sehat, berolahraga secara teratur, serta menggunakan obat terapi pengobatan diabetes yang diresepkan dokter.
Manfaatkan fitur LiveChat 24 jam di aplikasi KlikDokter untuk bertanya lebih lanjut mengenai diabetes.
(PUT/JKT)
:format(webp)/article/wtac8Xf2Qjui6nkQZhoXA/original/073549900_1636540633-Mengenal-Gejala-dan-Penyebab-Dermopati-Diabetik.jpg?w=256&q=100)