Kasus positif virus corona di dunia hampir menyentuh angka 5 juta. Sampai saat ini sudah 300 ribu lebih orang meninggal dunia akibat virus mematikan itu. Sedangkan bagi orang yang hingga saat ini masih positif virus corona, sebagian besar dari mereka mengalami pneumatosis.
Apa Itu Pneumatosis?
Belum lama ini para ilmuwan mendapati bahwa para pasien virus corona sangat berisiko mengalami pneumatosis. Ini adalah sejenis masalah perut yang disebabkan oleh virus SARS-CoV-2.
Menurut dr. Devia Irine Putri, pneumatosis adalah penumpukan gas di dinding usus. Ini salah satu kondisi gawat darurat di bidang bedah, karena usus jadi melar atau besar akibat adanya gas berlebih.
"Pneumatosis umumnya terjadi akibat penyakit, seperti ulkus peptikum, cedera atau trauma perut," ungkap dr. Devia.
Artikel Lainnya: Perhatikan, Ini 5 Gejala Virus Corona yang Tidak Biasa
Hubungan Pneumatosis dan Virus Corona
Melansir dari Express.co.uk, pasien virus corona yang mengalami kondisi pneumatosis cenderung memiliki gejala yang lebih serius dan berakhir di dalam ruangan perawatan intensif.
"Kami menemukan adanya kelainan usus pada pencitraan pasien dengan COVID-19. Kondisi ini lebih umum ditemukan pada pasien yang dirawat di ICU," kata Dr. Rajesh Bhayana dari Massachusetts General Hospital, Boston, Amerika Serikat.
"Pasien di ICU dapat menderita iskemia usus karena alasan lain. Namun, kita tahu bahwa COVID-19 dapat menyebabkan pembekuan dan cedera pembuluh kecil, sehingga usus juga mungkin terkena dampaknya," sambungnya.
Kendati demikian, ilmuwan mengingatkan bahwa tidak setiap kasus sakit perut akibat penumpukan gas di dalam saluran pencernaan terjadi akibat infeksi COVID-19.
Pasalnya, sakit perut juga bisa terjadi akibat permasalahan lainnya, yang mungkin tidak begitu serius.
Anda disarankan untuk segera berobat ke dokter jika keluhan sakit perut tidak kunjung hilang atau bertambah parah dalam waktu beberapa hari.
Anda pun sebaiknya segera berobat ke dokter jika mendapati adanya kasus sakit perut yang disertai dengan nyeri dada.
Artikel Lainnya: Waspada! WHO Peringatkan Adanya Peredaran Obat Virus Corona Palsu!
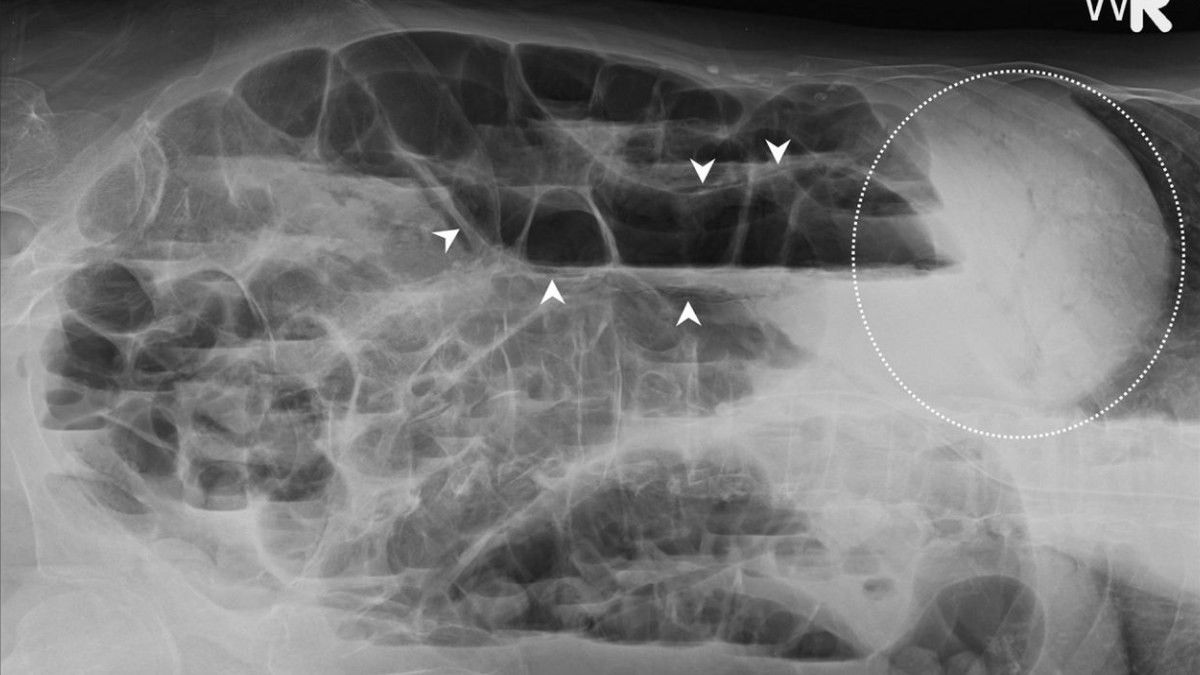
Ciri-ciri Pneumatosis dan Bahayanya
:format(webp)/article/5WuaM0OliLLlXi08s27i8/original/078649100_1590018909-Ilustrasi-Pneumatosis-by-Shung-Wei-Liu-and-Tai-Yu-Huang-cmaj.ca.jpg?w=256&q=100)
Sudah disebutkan sebelumnya, ciri-ciri dari pneumatosis adalah rasa sakit dan nyeri di perut. Kondisi ini digambarkan seperti dorongan untuk buang air besar ketika Anda sedang mengalami diare.
Selain itu, pneumatosis juga bisa memberikan gejala lain, seperti sembelit atau kesulitan buang air besar.
Intinya, pneumatosis menyebabkan rasa sangat tidak nyaman di perut seakan Anda sedang mengalami gangguan saluran pencernaan derajat parah. Maka itu, kondisi tersebut sangat perlu diberikan penanganan dengan cepat dan tepat.
Jika penanganan terlambat diberikan, dr. Devia berkata bahwa pneumatosis bisa menyebabkan kematian jaringan.
"Kematian jaringan akibat pneumatosis diketahui dari hasil pencitraan, seperti rontgen dan CT Scan," ungkap dr. Devia.
Tidak disangka, ternyata infeksi virus corona memiliki hubungan yang erat dengan pneumatosis. Kondisi ini merupakan gawat darurat, yang mesti ditangani dengan cepat dan tepat.
Jika Anda mengalami sakit perut atau gejala gangguan saluran cerna lainnya, gunakan layanan Live Chat 24 jam di aplikasi KlikDokter untuk memastikan kondisi lebih lanjut. Anda juga bisa melakukan deteksi dini gejala virus corona dengan memanfaatkan fitur Cek Risiko Virus Corona Online.
KlikDokter bekerjasama dengan Kementerian Kesehatan RI dan Badan Nasional Penanggulangan Bencana (BNPB) untuk menekan angka persebaran virus corona di Indonesia.
(NB/AYU)
:format(webp)/article/rPiwfiP-gw-8vHARyOtqY/original/069606100_1590018909-Perlu-Tahu-Pasien-Positif-Virus-Corona-Mayoritas-Alami-Pneumatosis-shutterstock_1607309656.jpg?w=256&q=100)