Berdasarkan hasil pemeriksaan CT Scan, dokter menemukan adanya bintik-bintik kecil di paru-paru Zulfikar.
Bintik kecil di paru tersebut, kata dokter merupakan kondisi granuloma. Apa itu granuloma paru? Simak penjelasan lengkapnya di sini.
Mengenal Granuloma Paru
Dokter Valda Garcia mengatakan granuloma bisa muncul karena adanya peradangan. “Tidak hanya di paru, granuloma juga bisa tumbuh di kelenjar getah bening atau organ lain,” lanjutnya.
Berdasarkan Healthline, ketika jaringan organ tubuh tertentu mengalami peradangan, sel histiosit akan merespon infeksi tersebut.
Artikel Lainnya: Mengenal Bronkopneumonia, Penyakit Infeksi Paru-Paru yang Berbahaya
Histiosit berperan merombak sel yang sudah rusak dalam tubuh. Sel ini merespon infeksi dengan berkelompok dan membentuk nodul (benjolan) kecil.
Nodul kecil sebesar kacang ini disebut sebagai granuloma. Selain di paru-paru dan kelenjar getah bening, granuloma sering berkembang di area kulit.
Pada dasarnya, granuloma berisi sel-sel radang. Ketika pertama kali terbentuk, granuloma punya tekstur yang lunak.
Namun seiring perkembangannya, nodul ini mengeras dan mengalami kalsifikasi (pengendapan zat kalsium di granuloma).
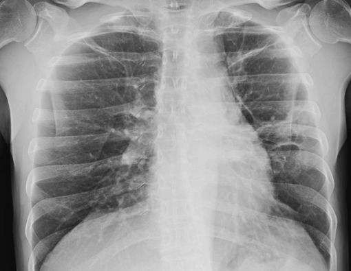
Kalsifikasi menyebabkan keberadaan granuloma lebih mudah terlihat pada tes pencitraan seperti rontgen dada atau CT scan.
Beberapa granuloma paru yang dideteksi melalui rontgen dada dapat terlihat seperti tumor penyebab kanker. Tetapi perlu dicatat, granuloma bukanlah kanker. Nodul ini bahkan seringkali tidak menimbulkan gejala apa pun.
Penyakit granuloma paru dapat muncul sebagai respon terhadap kondisi pernapasan seperti sarkoidosis atau histoplasmosis.
Kendati jarang menimbulkan gejala, granuloma paru dapat menyebabkan kondisi berikut:
- batuk tidak kunjung sembuh
- sesak napas
- sakit dada
- demam atau kedinginan
Artikel Lainnya: Kenali Kondisi Hemothorax, Penumpukan Darah di Paru-paru
Penyebab Granuloma Paru
Secara garis besar, penyebab granuloma paru adalah infeksi serta penyakit inflamasi (peradangan).
Infeksi jamur histoplasmosis merupakan penyebab paling umum munculnya granuloma paru. Infeksi histoplasmosis terjadi ketika Anda menghirup spora jamur pada kotoran burung dan kelelawar.
Penyebab granuloma paru lainnya adalah infeksi bakteri Mikobakterium nontuberkulosis (NTM). Bakteri ini dapat ditemukan di air maupun tanah.
Selain itu, granuloma paru juga dapat muncul ketika Anda mengalami peradangan tidak menular seperti granulomatosis dengan polyangiitis (IPK).
IPK merupakan peradangan yang terjadi pada pembuluh darah di hidung, tenggorokan, paru-paru, dan ginjal.
Kondisi IPK umumnya terjadi akibat reaksi abnormal sistem kekebalan tubuh terhadap infeksi.
Reaksi abnormal sistem kekebalan tubuh dapat menyebabkan penyakit radang sendi arthritis rheumatoid (RA).
RA juga memicu granuloma paru yang juga disebut sebagai nodul rheumatoid atau nodul paru-paru. Meski umumnya tidak berbahaya, pecahnya nodul rheumatoid dapat membahayakan organ paru Anda.
Terakhir, kondisi yang bisa menyebabkan timbulnya granuloma paru adalah sarkoidosis. Peradangan tidak menular ini kerap memengaruhi paru-paru dan kelenjar getah bening.
Sarkoidosis diduga disebabkan oleh reaksi abnormal dari sistem kekebalan tubuh. Granuloma akibat sarkoidosis disebut dapat memengaruhi fungsi paru-paru.
Artikel Lainnya: Hal-Hal yang Harus Dihindari Saat Pemulihan Kanker Paru
Cara Mengatasi Granuloma Paru
:format(webp)/article/TmTMMvs5SVc_2hSCgvMeM/original/001255500_1594118656-Ilustrasi-Seorang-Dokter-sedang-Menjelaskkan-Kemungkinan-Keberhasilan-Transplantasi-Paru-shutterstock_1107466403.jpg?w=256&q=100)
Penyakit granuloma paru tidak memerlukan pengobatan. Terutama jika nodul ini tidak menyebabkan gejala apapun.
Meski begitu, dr. Valda mengatakan granuloma bisa diobati berdasarkan penyebabnya.
“Kalau karena infeksi, bisa disesuaikan terapi dengan penyebab infeksinya. Jika karena bakteri, bisa diberikan antibiotik,” jelas dr. Valda.
Adapun jika granuloma paru muncul karena peradangan seperti sarkoidosis, nodul itu dapat diobati dengan kortikosteroid atau obat antiperadangan lainnya.
Itu dia gejala, penyebab dan cara mengatasi granuloma paru. Jika ingin tanya lebih lanjut seputar infeksi paru, konsultasi ke dokter via Live Chat.
(OVI/JKT)
:format(webp)/article/iagnK1Sk9_2IR-h8a74LC/original/094212300_1627640149-Granuloma-Paru.jpg?w=256&q=100)