Difteri merupakan penyakit yang sangat mudah menular. Disebabkan oleh infeksi bakteri Corynebacterium diphteriae, kondisi ini umumnya ditularkan dari manusia ke manusia melalui sekret dari saluran pernapasan. Ya, Anda bisa tertular penyakit difteri meski hanya terpapar oleh percikan liur (droplet) yang keluar saat penderita batuk atau bersin.
Lebih parah dari itu, beberapa penelitian melaporkan bahwa difteri juga dapat menyebar melalui kontak dengan lesi kulit yang terbuka pada penderita. Bahkan, melakukan kontak dengan objek yang terpapar bakteri C. diphteriae juga disinyalir mampu menularkan penyakit tersebut.
Saat bakteri difteri mulai menginvasi, gejala biasanya akan muncul dalam 2–4 hari. Gejala tersebut sangat rentan berujung pada komplikasi, karena dilatari oleh racun yang dikeluarkan oleh bakteri penyebab difteri. Adapun beberapa komplikasi yang sering terjadi, yaitu:
-
Sistem pernapasan
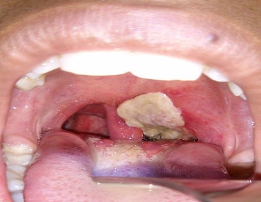
Racun yang dihasilkan bakteri penyebab difteri akan menyebabkan kematian jaringan, termasuk jaringan dalam sistem pernapasan. Akibatnya, jaringan mati tersebut akan membentuk lapisan tebal berwarna abu-abu yang dikenal dengan pseudomembran. Adanya pseudomembran menutupi saluran pernapasan, sehingga menyebabkan kesulitan bernapas.
Tak berhenti di situ, bagian kecil dari pseudomembran dapat terlepas lalu masuk lebih dalam hingga ke paru-paru. Alhasil, timbul reaksi peradangan luas pada paru-paru. Lebih lanjut, muncul risiko hilangnya sebagian atau seluruh fungsi normal paru-paru, di mana kejadian ini dikenal dengan gagal napas.
-
Jantung
Racun yang berasal dari bakteri penyebab difteri dapat mencapai jantung dan menyebabkan peradangan pada otot jantung. Kondisi ini dikenal dengan sebutan miokarditis.
Pada miokarditis, irama jantung menjadi tidak teratur. Ada kemungkinan kondisi ini menetap secara permanen, bahkan setelah penderita sembuh dari difteri. Pada keadaan yang lebih serius, miokarditis menyebabkan jantung menjadi lemah untuk memompa darah ke seluruh tubuh, sehingga dapat menimbulkan gagal jantung.
-
Saraf
Bakteri difteri dapat menyebabkan kerusakan pada saraf. Komplikasi yang terjadi bergantung pada saraf yang terkena.
- Jika yang terkena adalah saraf di area mulut dan kerongkongan, maka penderita akan kesulitan menelan ataupun berbicara. Berkaitan dengan kondisi ini, penderita mungkin akan mengalami aspirasi (tersedak) yang berpotensi menyebabkan kematian.
- Apabila yang terkena adalah saraf kranial, keluhan yang timbul adalah penglihatan kabur, mata juling, dan sebagainya.
- Jika yang terkena adalah otot diafragma (otot yang memisahkan dada dan perut), penderitanya tidak dapat bernapas mandiri sehingga membutuhkan bantuan alat (ventilator). Kondisi ini berpotensi menyebabkan kematian.
- Apabila yang terkena adalah otot pada kandung kemih, penderita akan menjadi sering berkemih, hanya mengeluarkan sedikit urine saat berkemih, atau sulit mengontrol keinginan berkemih (mengompol).
- Jika yang terkena adalah otot pada anggota gerak, penderita akan benar-benar kesulitan untuk bergerak.
Difteri adalah kondisi yang mengkhawatirkan, karena sangat mungkin menyebabkan kematian. Diperkirakan bahwa 10–15% kasus difteri berujung pada keadaan fatal. Hal ini diduga berkaitan dengan komplikasi, khususnya sumbatan saluran napas oleh pseudomembran dan masalah pada jantung.
Oleh karena itu, jangan biarkan bakteri penyebab penyakit difteri hingga menjangkiti Anda ataupun keluarga tercinta. Segera dapatkan vaksin difteri di pusat kesehatan terdekat, dan lakukan vaksinasi ulang sesuai dengan jadwal yang disarankan. Jika Anda merasakan gejala yang berkaitan dengan penyakit difteri, segera berobat ke dokter. Semakin dini dideteksi dan diatasi, semakin besar pula kemungkinan untuk terhindar dari komplikasi difteri.
(NB/ RVS)
:format(webp)/article/eOixL28nncsO5X5mCDfoT/original/013507500_1555913463-_X_-Komplikasi-Difteri-yang-Perlu-Anda-Tahu-Difteri-by-Nigeriagalleria-com.jpg?w=256&q=100)