Otot manusia terdiri atas tiga jenis, yaitu otot rangka, otot polos, dan otot jantung. Kerja dari otot rangka dapat disadari, tetapi otot polos dan otot jantung bekerja tanpa disadari.
Dari ketiga jenis otot tersebut, otot polos memiliki nama yang terbilang unik. Alasan penamaan otot polos adalah karena otot tersebut memang polos alias tidak memiliki lurik.
Otot ini bekerja dalam waktu lama tanpa jeda. Seberapa pentingkah fungsi otot ini bagi manusia?
Pengertian Otot Polos
:format(webp)/article/EEERExhUHyddAONB5n6p0/original/017481500_1616578615-Memperkuat_Otot_Tubuh.jpg?w=256&q=100)
Otot polos adalah salah satu jenis otot dalam tubuh manusia yang bekerja secara involunter atau tidak sadar. Letak otot polos tidak hanya di satu organ, tetapi tersebar di banyak organ.
Mayoritas otot-otot tersebut akan bekerja secara terus-menerus, bahkan pada saat tubuh dalam keadaan tidur.
Walaupun demikian, otot polos tidak memerlukan energi yang terlalu banyak karena daya yang dikeluarkan tidak terlalu besar.
Otot polos memiliki dua jenis, yaitu otot polos unit tunggal dan unit ganda. Yang membedakan hanyalah cara kerja dari sel-sel ototnya.
Pada otot polos unit tunggal, semua selnya bekerja sama secara kolektif atau bersama-sama, sedangkan tiap-tiap sel otot polos unit ganda bekerja masing-masing.
Artikel Lainnya: Penyebab Otot Tak Berkembang Meski Rajin Olahraga
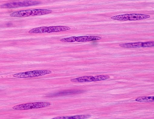
Ciri-Ciri Otot Polos
:format(webp)/article/KhlRAZH17o3sOEB14cxbW/original/075915200_1606276329-Olahraga-untuk-Membentuk-Massa-Otot-shutterstock_279394856.jpg?w=256&q=100)
Ciri-ciri otot polos adalah sebagai berikut.
- Tidak memiliki lurik.
- Bekerja tanpa perintah/otomatis/tanpa sadar.
- Tersebar di berbagai organ pada seluruh tubuh.
- Dapat berkontraksi dalam periode waktu yang panjang, tidak seperti otot lurik.
- Bentuknya ‘fusiform’, yaitu bulat pada bagian tengah dan meruncing pada kedua ujungnya.
- Nukleus atau inti selnya hanya satu dan terletak di tengah.
- Kerjanya tidak bergantung pada kadar oksigen maupun tekanan darah, melainkan oleh hormon dan sistem saraf.
- Lebih elastis dibandingkan otot lurik.
- Ketebalan kurang lebih mencapai 5 mikrometer.
- Panjangnya antara 20–30 mikrometer.
Fungsi Otot Polos Berdasarkan Letaknya
:format(webp)/article/dJikxC75l3sVdd5QZl-BF/original/063962800_1548209824-Kenali-3-Penyakit-Lain-Perusak-Otot-Selain-Penyakit-Pompe-By-BigBlueStudio-Shutterstock.jpg?w=256&q=100)
Berikut adalah fungsi otot polos berdasarkan letaknya:
1. Organ Pencernaan
Pada organ pencernaan, otot polos dibutuhkan untuk menjaga gerak peristaltik usus. Hal ini dibutuhkan untuk mencerna dan memindahkan makanan sampai nanti akhirnya dibuang melalui buang air besar.
Kerja gerakan peristaltik yang optimal akan memaksimalkan pemindahan serta penyerapan nutrisi dari makanan yang dicerna.
Artikel Lainnya: Gerakan untuk Melatih Otot-Otot Kaki yang Mudah dan Efektif
2. Jantung dan Pembuluh Darah
Otot polos membantu meregulasi tekanan dan aliran darah. Perlu Anda ketahui, keduanya berpengaruh terhadap kesehatan jantung.
Jika tekanan darah mulai naik, maka otot polos pada pembuluh darah akan menjadi relaks. Sebaliknya, ketika terjadi penurunan tekanan darah, pembuluh darah akan kontraksi.
3. Organ Pernapasan
Jaringan otot polos juga ada pada saluran pernapasan. Otot polos bertugas untuk meregulasi diameter saluran pernapasan.
Otot polos akan berkontraksi ketika membuang napas, sehingga udara terdorong keluar dari saluran pernapasan.
4. Kulit
Anda pasti pernah merasakan bulu kuduk berdiri ketika sedang kedinginan atau ketakutan? Ternyata hal ini berkaitan dengan otot polos.
Berdirinya bulu kuduk ini merupakan efek dari berkontraksinya otot polos pada permukaan kulit, yang dikenal juga dengan otot arrector pili.
Berdirinya otot arrector pili menyebabkan pembuluh darah di bawah kulit melebar sehingga bisa menyerap panas dari lingkungan luar.
Artikel Lainnya: Anda Sering Kram Otot saat Tidur? Kenali Penyebabnya!
5. Saluran Kemih
Otot polos ada di sepanjang saluran kemih dan berkontribusi terhadap pengosongan kandung kemih. Pada kandung kemih, otot polosnya dikenal dengan nama otot detrusor.
Ketika kandung kemih telah penuh, otot detrusor akan berkontraksi sehingga urine akan terdorong keluar.
6. Mata
Walaupun berukuran kecil, mata juga memiliki lapisan otot polos. Otot silier pada bola mata yang merupakan otot polos meregulasi akomodasi mata saat melihat suatu objek dengan mengubah bentuk lensa.
Selain itu, ia juga berkontribusi terhadap besar kecilnya pupil, misalnya pada saat silau, pupil akan mengecil. Sebaliknya di saat gelap, pupil secara otomatis akan melebar.
7. Organ Reproduksi
Siapa sangka, otot polos juga berperan dalam organ reproduksi. Fungsi otot polos pada organ reproduksi berbeda antara pria dan wanita.
Pada wanita, otot polos berkontraksi pada saat kehamilan. Sementara pada pria, otot polos berperan untuk mengeluarkan sperma pada saat bersenggama.
Nah, sekarang Anda sudah tahu informasi seputar otot polos. Penting untuk diingat bahwa ketika tidur pun, otot polos akan tetap bekerja agar fungsi-fungsi tubuh optimal. Menakjubkan, bukan?
Oleh sebab itu, jagalah kesehatan dan kekuatan otot Anda dengan rutin berolahraga dan konsumsi makanan bergizi lengkap dan seimbang. Konsultasikan kepada dokter lewat Tanya Dokter untuk mengetahui panduan menjaga otot tetap sehat. Gratis!
[WA]
- The American Journal of Medicine. Function of Gastrointestinal Smooth Muscle: from Signaling to Contractile Proteins. 2022.
- AHA Journals. Arteriosclerosis, Thrombosis, and Vascular Biology. 2022.
- Histology Leeds. Respiratory | Trachea, Bronchioles And Bronchi. 2022.
- Biology Online. Smooth Muscle. 2022.
- Kenhub. Ciliary Muscle. 2022.
:format(webp)/article/NwyiSTjd3tvOKHG8aVMeU/original/017010600_1652845862-Kenali_Otot_Polos__Ciri-Ciri__Jenis__Fungsi__dan_Letaknya.jpg?w=256&q=100)