Oleh: drg. Arni Maharani
Klikdokter.com - Benturan ringan sampai keras pada saat kecelakaan merupakan salah satu penyebab utama gigi patah. Kecelakaan yang terjadi bisa diakibatkan oleh olahraga, kecelakaan lalu lintas, aktivitas luar ruangan seperti bersepeda, dan juga ada penyebab lain yang bukan termasuk kecelakaan seperti tindakan kekerasan. Usia , gender dan riwayat terjadinya kecelakaan adalah faktor terbesarnya risiko gigi patah dan lebih banyak dialami oleh laki-laki berdasarkan laporan kasus. Pada anak-anak hal ini juga sering kita jumpai dalam kehidupan sehari- hari, dikarenakan kegiatan mereka dan pola tingkah laku.
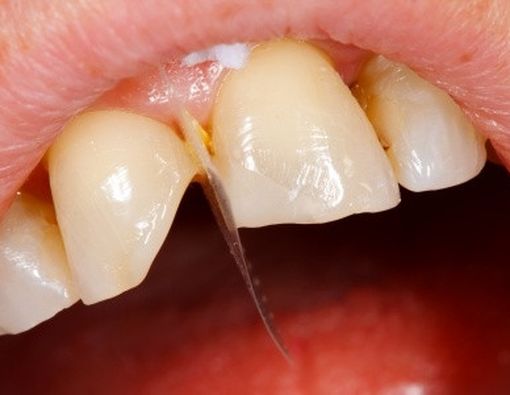
Gigi yang tersering patah adalah gigi depan atas (first incisive dan second incisive) dan kadang melibatkan lebih dari satu gigi. Berdasarkan anatomi gigi, bagian dari gigi yang patah dapat meliputi email, dentin, pulpa (kamar syaraf) dan akar.
Bagian yang patah bisa hanya mengenai satu bagian saja, misalnya pada email , tetapi bisa juga meliputi semua bagian dari email sampai ke akar. Baik rasa sakit yang ditimbulkan sampai tipe perawatan yang akan dilakukan oleh dokter gigi bergantung dari bagian gigi yang patah.
Beberapa hal yang dapat Anda lakukan sebagai pertolongan pertama apabila hal ini terjadi adalah:
- Bersihkan dan bilas mulut dengan air hangat untuk menghilangkan kotoran,
- Kompres dengan es di daerah sekitar gigi yang patah untuk mengurangi rasa sakit dan pembengkakan
- Tekan dengan menggunakan kain kasa pada daerah yang mengalami perdarahan.
- Jika memungkinkan, segera ke dokter gigi dengan membawa patahan gigi. Karena dalam beberapa kasus, patahan gigi itu masih dapat diperbaiki.
Bagi Anda ingin mengetahui lebih jauh mengenai topik ini, silakan ajukan pertanyaan Anda di fitur Tanya Dokter Klikdokter.com di laman website kami.[](AM)
:format(webp)/article/-_OsDTnp7SJE5ep6U0-nq/original/098838200_1483445717-topic_article_patah_gigi.jpg?w=256&q=100)