Penyebabnya bisa banyak hal. Dari disebabkan oleh kondisi infeksi penyakit tertentu, hingga disebabkan oleh terlampau kuat menyikat gigi. Namun dari semua faktor pencetus, yang paling sering menjadi pemicu adalah radang gusi.
Radangan gusi disebut gingivitis. Gingivitis merupakan bentuk infeksi awal dari gusi, yang tentu saja bila dibiarkan infeksi dapat menjalar ke jaringan pendukung gigi dan tulang serta dapat menyebabkan kegoyangan dan tanggalnya gigi.
Apa penyebab radang gusi (gingvitis)?
Kebersihan rongga mulut yang tidak terjaga dengan baik adalah hal yang bisa mencetuskan gingivitis. Ketika kita tidak membersihkan gigi secara baik dan benar maka terbentuklah plak disekitar gigi. Plak merupakan deposit lunak yang berisi sisa makanan dan bakteri. Plak yang tidak dibersihkan akan berubah menjadi karang gigi, dan karang gigi ini hanya bisa dibersihkan dengan bantuan dokter gigi. Bakteri yang bersarang dalam karang gigi akan menghasilkan racun yang menginfeksi gusi.
Lalu, bagaimana mengenali radang gusi (gingivitis)?
Silakan klik next untuk melanjutkan.
Kok Bisa Berdarah Ketika Menyikat Gigi?
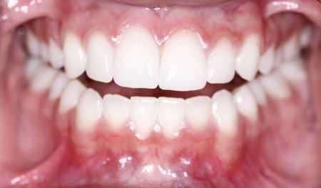
Bagaimana mengenali radang gusi (gingivitis)?
Gusi yang mengalami gingivitis memiliki ciri seperti:
- Berwarna merah atau merah keunguan sementara gusi yang sehat berwarna merah muda.
- Bengkak dan terasa lembut apabila disentuh.
- Mudah berdarah terutama jika menyikat gigi
- Dan selain gusi yang mengalami kelainan, mulut juga berbau tidak sedap.
Pencegahan radang gusi gingivitis
Gingivitis ini dapat dicegah dengan menjaga kebersihan mulut dan gigi dari plak, antara lain dengan:
- Menyikat gigi minimal 2 kali sehari pada pagi hari setelah sarapan dan malam hari sebelum tidur.
- Penggunaan benang gigi dapat dijadikan alternatif. Namun karena pemakaiannya belum begitu populer di Indonesia, Anda dapat mengoptimalkan kebersihan gigi dan mulut dengan memastikan menggunakan pasta gigi Pepsodent Expert Protection. Dimana dalam pasta gigi ini terdapat kandungan microgranule yang dapat membantu membersihkan daerah interdental/sela gigi 94% lebih bersih dibandingkan dengan pasta gigi yang tidak mengandung microgranule Lakukanlah pembersihan gigi di dokter gigi secara rutin, dan kontrol minimal 6 bulan sekali.
- Jangan merokok karena rokok sangat mempengaruhi kesehatan gusi(ADV)
:format(webp)/article/df5tdvCI8NU7ptMALwp4z/original/091817700_1483457663-rubrik-gigi-mulut_gusi-berdarah.jpg?w=256&q=100)