Definisi Gingivitis
Gingivitis adalah inflamasi (peradangan) pada gusi.
Penyebab Gingivitis
Gingivitis biasanya disebabkan oleh buruknya kebersihan mulut sehingga terbentuk plak atau karang gigi di bagian gigi yang berbatasan dengan tepi gusi. Plak dan karang gigi mengandung banyak bakteri yang akan menyebabkan infeksi pada gusi. Bila kebersihan mulut tidak diperbaiki, gingivitis akan bertambah parah dan berkembang menjadi periodontitis.
Gingivitis biasanya disebabkan oleh buruknya kebersihan mulut sehingga terbentuk plak atau karang gigi di bagian gigi yang berbatasan dengan tepi gusi. Plak dan karang gigi mengandung banyak bakteri yang akan menyebabkan infeksi pada gusi. Bila kebersihan mulut tidak diperbaiki, gingivitis akan bertambah parah dan berkembang menjadi periodontitis.
Tapi gingivitis juga dapat disebabkan oleh penyakit sistemik. Contohnya pada pasien penderita leukemia dan penyakit Wegner yang cenderung lebih mudah terkena gingivitis. Pada orang dengan diabetes atau HIV, adanya gangguan pada sistem imunitas (kekebalan tubuh) menyebabkan kurangnya kemampuan tubuh untuk melawan infeksi bakteri pada gusi.
Perubahan hormonal pada masa kehamilan, pubertas, dan pada terapi steroid juga menyebabkan gusi lebih rentan terhadap infeksi bakteri. Pemakaian obat-obatan pada pasien dengan tekanan darah tinggi dan paska transplantasi organ juga dapat menekan sistem imunitas sehingga infeksi pada gusi lebih mudah terjadi.
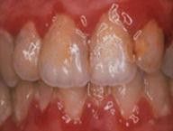
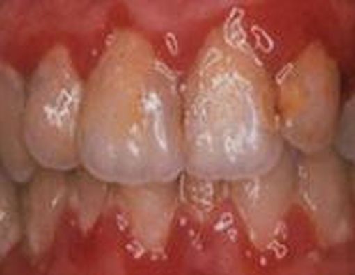
Gejala Gingivitis
Gusi tampak bengkak, kemerahan, lunak, dan mudah berdarah pada saat menyikat gigi atau penggunaan dental floss. Gingivitis juga dapat menyebabkan bau mulut (halitosis).
Pemeriksaan Gingivitis
Dokter gigi anda akan melakukan pemeriksaan pada gusi atau jaringan periodontal dengan menggunakan alat yang disebut periodontal probe. Alat ini digunakan untuk mengukur kedalaman sulkus gusi (celah berbentuk V yang berada di antara gigi dan gusi). Kedalaman sulkus gusi yang normal berkisar antara 0-3 mm. Gingivitis atau periodontitis akan menyebabkan kedalaman sulkus bertambah dan membentuk poket. Semakin tinggi derajat keparahan penyakit, semakin dalam poket yang terbentuk. Periodontal probe juga dapat digunakan dalam menentukan derajat keparahan perdarahan pada gusi.
Penatalaksanaan
Pembersihan plak dan perbaikan kebersihan mulut adalah kunci utama dalam mengatasi gingivitis. Lakukan sikat gigi dua kali sehari, pada pagi hari setelah sarapan dan malam hari sebelum tidur. Lakukan flossing sekali dalam sehari untuk membersihkan plak dan sisa makanan di antara celah gigi. Pada gingivitis yang parah biasanya membutuhkan penggunaan antibiotik, tapi tentunya ini harus dengan resep dari dokter gigi. Lakukan kunjungan rutin ke dokter gigi setiap 6 bulan sekali untuk melakukan check up dan pembersihan seluruh gigi-geligi.
:format(webp)/article/0jKTMID7WyGxjMrDIRLT2/original/063751300_1483456368-rubrik-gigi-mulut_gigi_gingivitis.jpg?w=256&q=100)