Pengertian Gusi Turun
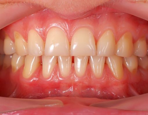
Resesi gingiva atau yang lebih dikenal dengan sebutan gusi turun merupakan kondisi kerusakan gusi akibat mengalami penurunan yang mengarah ke arah akar gigi. Akibatnya permukaan akar gigi menjadi terbuka atau terekspos. Padahal seharusnya gusi berfungsi untuk melindungi akar gigi.
Kondisi ini seringkali membuat penderitanya merasakan ngilu atau linu saat terhadap makanan dan minuman yang bersuhu panas atau dingin. Bahkan rasa ngilu juga bisa dirasakan penderitanya saat area yang mengalami resesi gingiva terpapar angin. Terkadang, keluhan gigi sensitif juga bisa dikaitkan dengan penurunan gusi.
Selain menimbulkan keluhan ngilu dan gigi sensitif, resesi gingiva juga bisa menimbulkan keluhan lain. Hal yang juga cukup sering dikeluhkan adalah karies gigi, estetis (mengganggu penampilan), dan perubahan warna gigi.
Jika tidak mendapat penanganan yang tepat, resesi gingiva bisa menimbulkan masalah yang lebih serius. Saat gusi terus menerus dibiarkan mengalami penurunan, gigi lambat laun akan goyang. Pada akhirnya gigi bisa terlepas.
Keluhan resesi gingival lebih sering ditemukan pada orang dewasa khususnya mereka yang berusia diatas 50 tahun. Sedangkan pada anak-anak, jarang ditemukan kasus penurunan gusi.
Artikel Lainnya: Penyebab Penurunan Gusi yang Jarang Diketahui
Diagnosis Gusi Turun
Dokter gigi akan terlebih dahulu mengumpulkan informasi berdasarkan keluhan Anda. Diagnosis resesi gingiva bisa ditentukan jika hasil pemeriksaan menunjukkan kondisi gusi turun yang ada diikuti dengan beberapa keluhan tertentu.
Beberapa keluhan yang sering menyertai adalah gusi yang berdarah ketika menyikat gigi, nyeri, dan gigi ngilu. Pada beberapa kasus juga bisa disertai dengan munculnya nanah. Penurunan gusi tersebut merupakan indikasi dari kondisi gingivitis (radang gusi).
Selain dari pengumpulan informasi dan pemeriksaan fisik, dokter juga dapat melakukan pemeriksaan penunjang. Salah satunya dengan melakukan pemeriksaan foto sinar X. Tujuannya adalah untuk mengetahui jika terdapat kerusakan tulang. Jika ditemukan kerusakan, maka diperlukan bantuan dokter gigi spesialis periodonti untuk penanganan lebih lanjut.
Gejala Gusi Turun
Rasa ngilu yang berlebihan terhadap makanan bersuhu panas dan dingin merupakan salah satu gejala yang paling mudah dikenali. Selain itu, penderita resesi gingival juga cukup sensitif terhadap makanan manis dan udara yang mengenai gigi dimana terjadi penurunan gusi.
Gigi yang terlihat lebih panjang akibat penurunan gusi juga merupakan salah satu indikasi resesi gingiva. Hal ini bisa menimbulkan masalah estetika apabila terjadi pada gigi bagian depan. Sebab saat Anda tersenyum atau berbicara, area yang mengalami penurunan gusi biasanya akan tampak dengan jelas.
Artikel Lainnya: Teh Hijau Bisa Mengobati Gusi Turun, Mitos atau Fakta?
Pengobatan Gusi Turun
Penanganan yang dilakukan oleh dokter gigi bergantung dari beberapa hal. Hal-hal yang perlu diperhatikan adalah tingkat keparahan resesi gingiva, serta penyebab dan jenis resesi gingiva itu sendiri.
Terdapat dua macam terapi yang bisa diberikan, yaitu secara bedah dan non-bedah. Pada kasus yang ringan, dokter gigi akan melakukan perawatan dengan scaling dan root planning. Perawatan ini biasanya dikombinasikan dengan pemberian antibiotik jika memang diperlukan.
Kombinasi dari tindakan non-bedah dan menjaga kebersihan gigi serta mulut dapat membantu mengatasi resesi gingiva. Namun jika kondisi penurunan gusi cukup mengganggu Anda secara estetik, maka Anda memerlukan tindakan bedah.
Untuk kondisi yang lebih parah, maka akan dilakukan pembedahan pada gusi (soft tissue graft). Salah satu prosedur bedah yang sering digunakan adalah connective tissue graft yang menggunakan jaringan lunak pada langit-langit rongga mulut. Selanjutnya jaringan tersebut dipindahkan ke bagian gusi yang mengalami penurunan.
Dapatkah penurunan gusi dicegah? Anda bisa mencegahnya dengan menjaga kebersihan serta kesehatan rongga mulut dan gigi. Selain itu, pastikan Anda menyikat gigi dengan baik dan benar. Lakukan pemeriksaan ke dokter gigi setidaknya dua kali dalam setahun.
Selain hal-hela tersebut, perhatikan juga sikat gigi yang Anda gunakan. Pilihlah sikat gigi yang ergonomis dan memiliki bulu sikat yang lembut. Pola hidup yang sehat juga diperlukan. Lakukan dengan mengonsumsi makanan bergizi seimbang serta menghindari kebiasaan buruk seperti merokok dan mengonsumsi minuman beralkohol.
Artikel Lainnya: Gigi Sensitif, Benarkah Tanda Penurunan Gusi?
Penyebab Gusi Turun
Teknik yang salah dalam menyikat gigi berpotensi menyebabkan terjadinya resesi gingiva. Selain masalah teknik, penggunaan jenis sikat gigi yang salah pun turut berkontribusi dalam hal ini. Oleh karena itu, cara menyikat gigi yang benar dan pemilihan sikat gigi merupakan kunci utama dari masalah resesi gingiva.
Selain kedua hal di atas, kuman pada plak gigi juga dapat menyebabkan peradangan pada gusi. Akibatnya terjadi pergerakan tepi gusi kearah akar gigi. Posisi gigi yang tidak benar seperti miring berputar atau agak menonjol juga berisiko menyebabkan gusi menjadi lebih tipis. Pada akhirnya hal ini dapat memicu turunnya gusi jika terus berulang.
Penambalan yang tidak tepat serta pergerakan gigi pada saat perawatan orthodontik/behel juga dapat menjadi pemicu resesi gingiva. Penyebab lain yang juga dicurigai adalah cara perawatan gigi yang salah seperti pengunaan benang gigi (dental floss) dan penggunaan obat kumur yang tidak benar.
Kebiasaan grinding dan clenching yang menimbulkan tekanan pada gigi pun disebut-sebut dapat menyebabkan penurunan gusi. Begitu juga masalah hormonal seperti pada masa menstruasi, puber, kehamilan, dan menopause.
:format(webp)/article/2pmMNn7fr7dmkdPxwru5N/original/025920900_1507018240-Gusi_Turun__Resesi_Gingiva_.jpg?w=256&q=100)