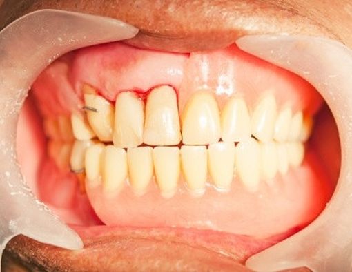
Klikdokter.com - Jaringan pendukung gigi yang terdiri dari gusi, sementum, ligamen periodontal dan tulang alveolar dapat mengalami kerusakan serta keradangan yang disebabkan oleh bakteri. Kerusakan dan gangguan yang ditimbulkan oleh keradangan jaringan pendukung gigi atau disebut juga periodontitis meliputi gejala:
- rasa sakit pada gusi
- napas yang berbau tidak sedap
- gusi yang berwarna merah atau merah keunguan
- terdapat nanah pada gusi
- terdapat celah antara gigi-gigi
- gusi bengkak
- mengkilap serta mudah berdarah
- salah satu akibat terparah dari keradangan ini adalah goyangnya gigi dimana menyebabkan gigi tidak bisa dipertahankan lagi.
Artikel Lainnya: Gejala Periodontitis yang Harus Kamu Waspadai
Penanganan Pada Periodontitis
Perawatan pada periodontitis mutlak dilakukan karena untuk mencegah terjadinya keparahan serta kerusakan yang lebih lanjut dan juga mengembalikan fungsi dari gigi. Tahap perawatan yang dilakukan pada penanganan periodontitis terdiri atas:
- Menghilangkan Plak
- Menghilangkan plak serta karang gigi dengan tindakan Scaling dan root planning dari permukaan gigi agar kesehatan gusi dapat dicapai dan mengurangi jumlah bakteri yang bersarang. Tindakan ini merupakan tahap awal dari rangkaian penanganan yang akan diberikan dan dilakukan secara berkala.
- Menangani Gigi Goyang
- Stabilisasi gigi-gigi yang mengalami kegoyangan dengan menggunakan alat tertentu yang bernama splint. Alat ini bermacam-macam dan digunakan sesuai indikasinya. Pada tahapan perawatan periodontitis splint yang digunakan adalah spilnt sementara yang berguna untuk mempercepat penyembuhan.
Artikel Lainnya: Berbagai Faktor yang Meningkatkan Risiko Periodontitis
- Obat
- Obat anti-mikrobial yang diletakkan secara langsung pada jaringan yang rusak atau dengan cara terapi sistemik. Pemberian obat ini adalah sebagai penunjang untuk membasmi secara menyeluruh bakteri yang ada disekitar keradangan, hal ini diperlukann karena tindakan scaling dan root planning saja tidak cukup .
- Anti-inflamasi / Anti Radang
- Menghilangkan keradangan dan memperbaiki kerusakan pada jaringan sekitar dengan pembedahan. Perbaikan yang diperlukan dapat terjadi dengan sendirinya setelah pembedahan atau dengan bantuan bahan-bahan tertentu yang diaplikasikan dalam proses pembedahan.
Bagi Anda yang ingin mengetahui lebih jauh mengenai topik ini, silakan ajukan pertanyaan Anda di fitur Tanya Dokter Klikdokter.com di laman website kami.[](AM)
:format(webp)/article/zG4gPaxIOz5lEGOyWL679/original/057059800_1483455218-rubrik-gigi-mulut_periodontitis_gusi_gigi_sakit.jpg?w=256&q=100)