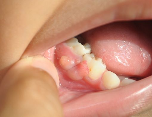
Pernahkah Anda mengalami kondisi gusi bengkak, bahkan sampai terbentuk seperti mata bisul? Kondisi ini dikenal dengan sebutan gum boil atau abses.
Gum boil adalah benjolan hasil dari penyaluran nanah dari infeksi gigi atau peradangan yang terjadi pada gusi.
Keadaan ini bisa terjadi pada berbagai macam kondisi gigi, misalnya pada gigi yang sudah berlubang dalam atau gigi keropos yang tinggal sisa akar gigi. Selain itu, juga dapat terjadi pada gigi yang terkena trauma benturan.
Dalam beberapa kasus, gejala gum boil bisa sampai pecah hingga keluar nanah dan terkadang menyebabkan rasa sakit.
Artikel lainnya: Penyebab dan Cara Mengatasi Gusi Bengkak
Gusi Bengkak dan Bernanah, Waspada Gum Boil
:format(webp)/article/Gj2bnWSV4iHpgZGb_Si91/original/017252300_1603702340-Gum-Boil-shutterstock_1490543567.jpg?w=256&q=100)
Terjadinya gum boil diawali dari gigi berlubang. Lubang gigi yang sudah mencapai bagian saraf, membuat saluran akar menjadi terbuka sehingga akan memberikan jalan masuk bagi bakteri untuk berakumulasi di ujung akar gigi.
Penumpukan dari bakteri tersebut akan mengakibatkan timbulnya peradangan atau abses pada ujung akar. Abses yang dibiarkan tanpa pengobatan bisa membesar, dan lama-kelamaan akan mencari jalan keluar sehingga membuat saluran menuju arah gusi.
Setelah abses mencapai gusi, maka terjadi peradangan baru di gusi. Hal ini kemudian akan memicu munculnya pembengkakan yang berisi nanah dan terbentuklah gum boil tersebut.
Jika gejala gum boil tidak segera diobati, maka dapat menyebar dan mengakibatkan kehilangan gigi. Bahkan, bisa sampai mengancam keselamatan jiwa jika bakterinya masuk ke dalam peredaran darah besar.
Artikel lainnya: Gusi Bengkak Setelah Tambal Gigi, Inilah Penyebabnya
Tanda Gusi Bengkak dan Bernanah Akibat Gum Boil
Adapun tanda dan gejala gum boil adalah sebagai berikut:
- Munculnya rasa sakit, bengkak dan benjolan lunak di mulut
- Perdarahan akibat gum boil yang pecah
- Bau mulut akibat perdarahan maupun pembersihan mulut yang kurang baik
- Mual
- Demam
- Nyeri pada telinga
Karena gum boil ini tergolong infeksi yang cukup berat, maka pasien disarankan untuk segera berobat ke dokter gigi guna mencegah penyebaran infeksi ke area rongga mulut atau ke anggota tubuh lainnya.
Jenis perawatan yang akan diberikan dokter gigi dapat berupa drainase atau dibuatkan jalan keluar agar nanah yang ada di dalam abses bisa keluar.
Setelah dipastikan nanah sudah bersih, perawatan akan dilanjutkan dengan pemberian obat antibiotik dan antiradang untuk meredakan serta menghilangkan peradangan.
Artikel lainnya: Tips Mengatasi Gusi Bengkak Akibat Kawat Gigi atau Behel
Perawatan berikutnya tergantung dari kasus yang dialami pasien. Jika kondisinya masih memungkinkan, pasien akan mendapat perawatan saluran akar.
Jika infeksi gusi cukup berat dan menyebabkan kerusakan tulang di sekitarnya, maka perlu tindakan bedah untuk mengambil dan membersihkan bagian yang rusak. Atau, melakukan pencabutan gigi guna menghindari masalah lebih lanjut.
Selain itu, jangan lupa untuk menghilangkan faktor penyebabnya. Apabila disebabkan oleh gigi palsu yang terlalu cekat, maka perlu dilakukan perbaikan.
Lalu jika ternyata gum boil disebabkan oleh periodontitis akibat diabetes, maka perlu diberi pemahaman tentang keterkaitan antara penyakit tersebut.
Dengan menjaga kadar gula dalam level yang normal, pasien akan terhindar dari periodontitis penyebab gum boil.
Apabila Anda memiliki pertanyaan lain seputar gejala gum boil atau kesehatan gusi, gunakan fitur Live Chat di aplikasi KlikDokter untuk konsultasi dengan dokter. Gratis!
[RS]
:format(webp)/article/eQ4tszKz5KQvPX5o7JBzK/original/007105700_1603702340-Gum-Boil_-Ketika-Gusi-Bengkak-dan-Bernanah-shutterstock_1352291381.jpg?w=256&q=100)