Periodontitis adalah penyakit pada jaringan penyangga gigi termasuk gusi. Jaringan penyangga gigi terdiri dari gusi, tulang yang menyelubungi gigi, dan ligament periodontal (selapis tipis jaringan ikat yang memegang gigi dalam kantongnya dan juga berfungsi sebagai media peredam antara gigi dan tulang).
Suatu keadaan dapat disebut periodontitis bila perlekatan antara jaringan periodontal dengan gigi mengalami kerusakan. Selain itu rusaknya tulang alveolar (tulang yang menyangga gigi) juga bisa dikatakan sebagai periodontitis.
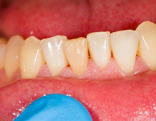
Gingivitis (peradangan gusi) yang tidak dirawat dapat berkembang menjadi penyakit periodontitis. Kerusakan pada jaringan periodontal akan meluas dikarenakan infeksi yang berasal dari gusi ke arah tulang. Pada kondisi lanjut, penyakit periodontitis ini bisa menyebabkan goyangnya gigi hingga lepas.
Salah satu penyebab penyakit periodontal adalah plak. Halaman berikut penjelasan selengkapnya.
Apakah Penyebab dari Penyakit Gusi?
Plak gigi adalah suatu lapisan lunak yang terdiri atas kumpulan mikroorganisme yang berkembang biak dan melekat erat pada permukaan gigi yang tidak dibersihkan, dan kemudian berubah menjadi karang gigi. Ketika plak telah berubah menjadi karang gigi, maka pembersihannya hanya bisa dilakukan oleh dokter gigi dan tidak dapat dihilangkan dengan menyikat gigi.
Selain plak gigi sebagai penyebab utama penyakit periodontal, ada beberapa faktor yang menjadi faktor risiko penyakit periodontal seperti kesehatan gigi dan mulut yang buruk, penyakit sistemik, umur, jenis kelamin, taraf pendidikan, dan masalah ekonomi.
:format(webp)/article/gF-cyBj8Q-gg9T-tZvR1S/original/027699300_1483456555-rubrik-gigi-mulut_APAKAH-PENYEBAB-DARI-PENYAKIT-GUSI.jpg?w=256&q=100)